欢迎来到名医看牙,口腔医美数字化平台!

黑牙

作者:名医看牙

概述:

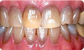
黑牙常常由于牙齿表面存在着多种细菌分泌的黏性物质,我们饮食中的茶垢、烟渍以及饮用水中的某些矿物质吸附在这些黏性物质上, 逐渐使牙齿变黄或变黑。某些含有色素的食物(如紫菜、茄子皮、不熟柿子等)或药物(如铁剂、含鞣酸类药或中成药等),高浓度食 入时也可使牙齿表面发黑。形成黑牙。

原因:

1) 牙齿外面变黑:长期习惯性地饮用咖啡、浓茶、可乐等深色饮食都会使牙齿变黄、变黑

2) 牙齿内部变黑:最常见为四环素(及其衍生物)类的抗生素所引起的牙齿变色

3) 蛀牙会使牙齿变灰、变黑:大家都知道蛀坏掉的牙齿会变黑

4) 年龄老化也会造成牙齿变黑:牙齿珐琅质随年龄增长而变薄,渐渐失去透明性,相对地内层黄色象牙质增厚,使牙齿越来越黄,这也是为什么大家总希望牙齿美白、青春永驻。

常见问题:

Q:牙齿黑了怎么办?

A:首先了解黑牙产生的原因,到医院咨询时,医生会先给你作个口腔检查。 牙齿健康状况不良好导致的牙齿发黑和日常饮食习惯导致的发黑这时让医生给洗下牙,效果非 常显著;如果是抽烟等不良习惯会使深色素沉积于牙齿表面,进而渗透到牙齿珐琅质内部,造 成变色。这时候就要动用到医院的美白技术了,现在美白技术被广泛接受。四环素牙导致的发 黑:多是孩童时期服用四环素导致。沉积于牙冠上,医院会采用美牙冠技术来美白黑牙。 牙齿美白后的护理也很重要,平时生活中要少喝绿茶,红茶,带颜色的饮料,饭后漱口等日常口腔卫生。

名医看牙隶属于北京富安网络科技有限公司©2015-京ICP备15065393号